Tellmed richtet sich ausschliesslich an Mitglieder medizinischer und pharmazeutischer Berufe. Für Patienten und die Öffentlichkeit steht das Gesundheitsportal www.sprechzimmer.ch zur Verfügung.
Rect Top
Anzeige
Richtig
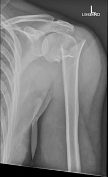
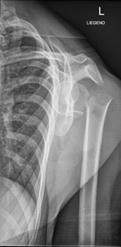
Die Röntgenaufnahme der Schulter in zwei Ebenen ist die Untersuchung der Wahl zur Beurteilung der Knochenstrukturen und der Gelenkstellung.
Hier sehen Sie die Aufnahmen im vorliegenden Fall: