|
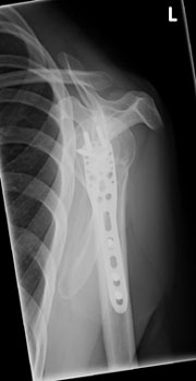
In diesem Fall ist eine winkelstabilen Plattenosteosynthese indiziert. Durch die winkelstabile Schraubenverankerung im Plattenlager und divergierenden Schraubenverlauf, welcher die ganze Breite des Kopffragmentes nutzt, wird eine hohe primäre Stabilität erreicht. Dies ermöglicht eine frühfunktionelle Übungsstabilität bei gleichzeitiger
Schmerzreduktion. |
 |