Radiologie Quiz 36
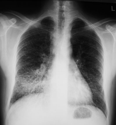
Ein 46-jähriger Patient konsultiert Sie wegen chronischem trockenem Husten seit zwei Monaten und einem Gewichtsverlust von 6 kg in derselben Zeit.
Dyspnoe verspürt er lediglich bei starker Anstrengung. Fieber wird verneint. Lungenperkussion und -auskultation sind unauffällig; im Gegensatz zum Röntgenbild:
|
Frage 1
Wie würden Sie den Befund beschreiben?
|
|
Frage 2
Welche beiden folgenden Differentialdiagnosen sind aufgrund der Klinik und des radiologischen Befundes am wahrscheinlichsten?
|
Mediscope
06.07.2009 - dde