Radiologie Quiz 38
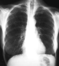
Eine 70-jährige Patientin meldet sich bei Ihnen in der Praxis mit Verschlechterung des Allgemeinzustandes seit 4-5 Wochen und Fieber bis maximal 38.5 Grad.
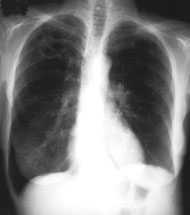
Des weitern klagt sie über einen trockenen Husten. Ausser einer arteriellen Hypertonie besteht als Vorerkrankung eine leichte COPD. Da Sie ausser dem Husten keinen klinischen Fokus für einen Infekt finden, entschliessen Sie sich für ein Thorax-Bild. Optimalerweise haben Sie sogar noch ein pa-Thorax von vor 2 Jahren zum Vergleich:
|
Frage
Welche Differentialdiagnosen kommen in Frage (mehrere richtige Antworten möglich)?
|
Mediscope
06.04.2010 - dde