Leaderboard

Sie sind hier: Fortbildung » Radiologie-Quiz 16. März 2026
Suchen
tellmed.ch
Radiologie-Quiz
Erweiterte Suche
Fachliteratur
Fortbildung
Radiologie-Quiz
Röntgenfall des Monats
EKG-Quiz
Labor-Quiz
Kongresse/Tagungen
Tools
Humor
Kolumne
Presse
Gesundheitsrecht
Links
 

Zum Patientenportal

 
Schrift: Schrift grösser Schrift kleiner Als Email versenden Druckvorschau

 Das Portal für Ärztinnen und Ärzte

Tellmed richtet sich ausschliesslich an Mitglieder medizinischer und pharmazeutischer Berufe. Für Patienten und die Öffentlichkeit steht das Gesundheitsportal www.sprechzimmer.ch zur Verfügung.

 

Rect Top

Radiologie Quiz 39

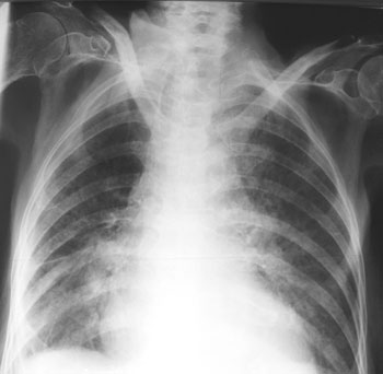
Eine 76-jährige, noch rüstige Patientin beklagt stark zunehmende Atemnot seit zwei Tagen. Zusätzlich hat sie Husten mit manchmal bräunlich-gelblichem Auswurf. Subfebrile Temperaturen. Thorakale Schmerzen werden verneint.

Sie ist wegen einer arteriellen Hypertonie mit einer Zweierkombination behandelt und leidet unter einem Diabetes mellitus Typ 2. In der Anamnese berichtet die Patientin ausserdem über eine Tuberkulose in der Kindheit.

 

Bei der Untersuchung fällt die Kurzatmigkeit der Patientin sofort auf. Basal beidseits finden sich feuchte Rasselgeräusche. Eine Röntgenaufnahme ist nur liegend möglich.

 

Thorax pa

Bild vergrössern

 

 

Frage

Welche Diagnose ist am wahrscheinlichsten:

 

Mediscope

29.07.2010 - dde

 
Adserver Footer
Rect Bottom
 

Fachportal Gastroenterologie:
Abklärung, Diagnose
Therapie, Prävention

Eisen-Fachportal:
Eisenmangel und Eisenmangelanämie
Sprechzimmer: Patientenratgeber
Sky right 1