Radiologie Quiz 40
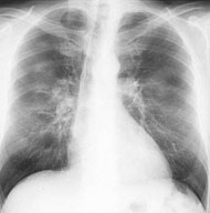
Ein 58-jähriger, sportlich aktiver Mann sucht Sie in der Sprechstunde auf. Er klagt über eine Leistungsminderung und Husten mit etwas weisslichem Auswurf seit ca. 2-3 Wochen. Dazu subfebrile Temperaturerhöhung.
In der Anamnese erfahren Sie, dass der Patient früher geraucht hat (30 packyears), seit 10 Jahren allerdings nicht mehr. Kardiopulmonale Vorerkrankungen werden verneint. Die Lungenauskultation zeigt keine pathologischen Befunde.
Sie beschliessen, ein Thorax-Röntgenbild durchzuführen:
|
Frage
Wie beurteilen Sie das Röntgenbild in Kombination mit der Klinik?
|
Mediscope
09.11.2010 - dde