Radiologie Quiz 45
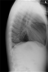
Zur Aufnahme kommt ein 8 jähriger Knabe mit hartnäckigem, vorwiegend trockenem Reizhusten seit 5 Tagen und subfebrilen Temperaturen bis mässigem Fieber.
Bei relativ blander Klinik wird ein Thoraxröntgen durchgeführt:
|
Frage 1
Welcher Befund liegt vor? (mehrere richtige Antworten möglich)
|
|
Frage 2
Wie lautet Ihre Verdachtsdiagnose? (mehrere richtige Antworten möglich)
|
Mediscope
01.11.2011 - gem