Tellmed richtet sich ausschliesslich an Mitglieder medizinischer und pharmazeutischer Berufe. Für Patienten und die Öffentlichkeit steht das Gesundheitsportal www.sprechzimmer.ch zur Verfügung.
Rect Top
Anzeige
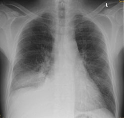
Radiologie Quiz 47
Ein 68-jähriger Patient mit chronischer Niereninsuffizienz und hypertensiver Herzerkrankung klagt akutell über zunehmende Dyspnoe. Sie veranlassen ein Thoraxröntgen.