Leaderboard

Sie sind hier: Fortbildung » Radiologie-Quiz 13. Januar 2026
Suchen
tellmed.ch
Radiologie-Quiz
Erweiterte Suche
Fachliteratur
Fortbildung
Radiologie-Quiz
Röntgenfall des Monats
EKG-Quiz
Labor-Quiz
Kongresse/Tagungen
Tools
Humor
Kolumne
Presse
Gesundheitsrecht
Links
 

Zum Patientenportal

 
Schrift: Schrift grösser Schrift kleiner Als Email versenden Druckvorschau

 Das Portal für Ärztinnen und Ärzte

Tellmed richtet sich ausschliesslich an Mitglieder medizinischer und pharmazeutischer Berufe. Für Patienten und die Öffentlichkeit steht das Gesundheitsportal www.sprechzimmer.ch zur Verfügung.

 

Rect Top

Radiologie Quiz 50

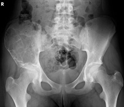
Ein 13-jähriges Mädchen kommt humpelnd zu Ihnen in die Praxis mit Schmerzen in der rechten Hüfte, die seit einigen Monaten bestehen und besonders bei Belastungen auftreten. Eine sichtbare Schwellung besteht nicht, kein Sturzgeschehen in der Anamnese.

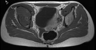
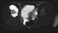
Die Röntgenuntersuchung von Becken/Hüfte zeigt eine septierte geographische Osteolyse in der Ala und im Korpus des Os Iliums rechts. Das Röntgenbild und die Aufnahmen der nachfolgenden MRI-Untersuchung sehen Sie hier: 

 

Becken/Hüfte pa

Bild vergrössern

 

 

T2 FS, axial, 5 mm

Bild vergrössern

 T2 FS, axial, 5 mm

Bild vergrössern

 

T1 FS, axial, 5 mm

Bild vergrössern

 T2 FS, coronar, 5 mm

Bild vergrössern

 

Frage

Welche Diagnose stellen sie aufgrund der vorliegenden Bilder?

 

 

Mediscope

05.01.2013 - gem

 
Adserver Footer
Rect Bottom
 

Fachportal Gastroenterologie:
Abklärung, Diagnose
Therapie, Prävention

Eisen-Fachportal:
Eisenmangel und Eisenmangelanämie
Sprechzimmer: Patientenratgeber
Sky right 1