Tellmed richtet sich ausschliesslich an Mitglieder medizinischer und pharmazeutischer Berufe. Für Patienten und die Öffentlichkeit steht das Gesundheitsportal www.sprechzimmer.ch zur Verfügung.
Rect Top
Anzeige
Röntgenfall des Monats März 2017 mit Auflösung
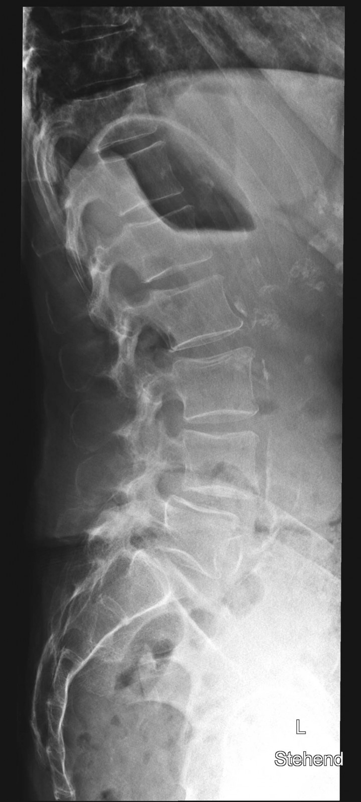
80 jährige Patientin mit chronischen linksbetonten Schmerzen lumbal am Übergang zum Becken