Tellmed richtet sich ausschliesslich an Mitglieder medizinischer und pharmazeutischer Berufe. Für Patienten und die Öffentlichkeit steht das Gesundheitsportal www.sprechzimmer.ch zur Verfügung.
Rect Top
Anzeige
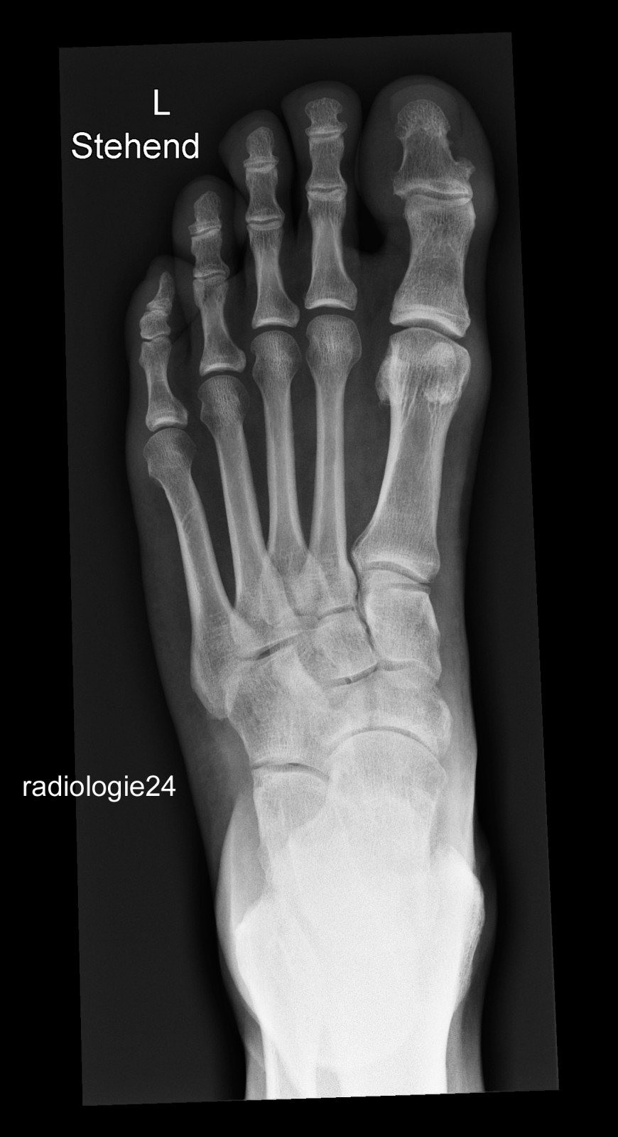
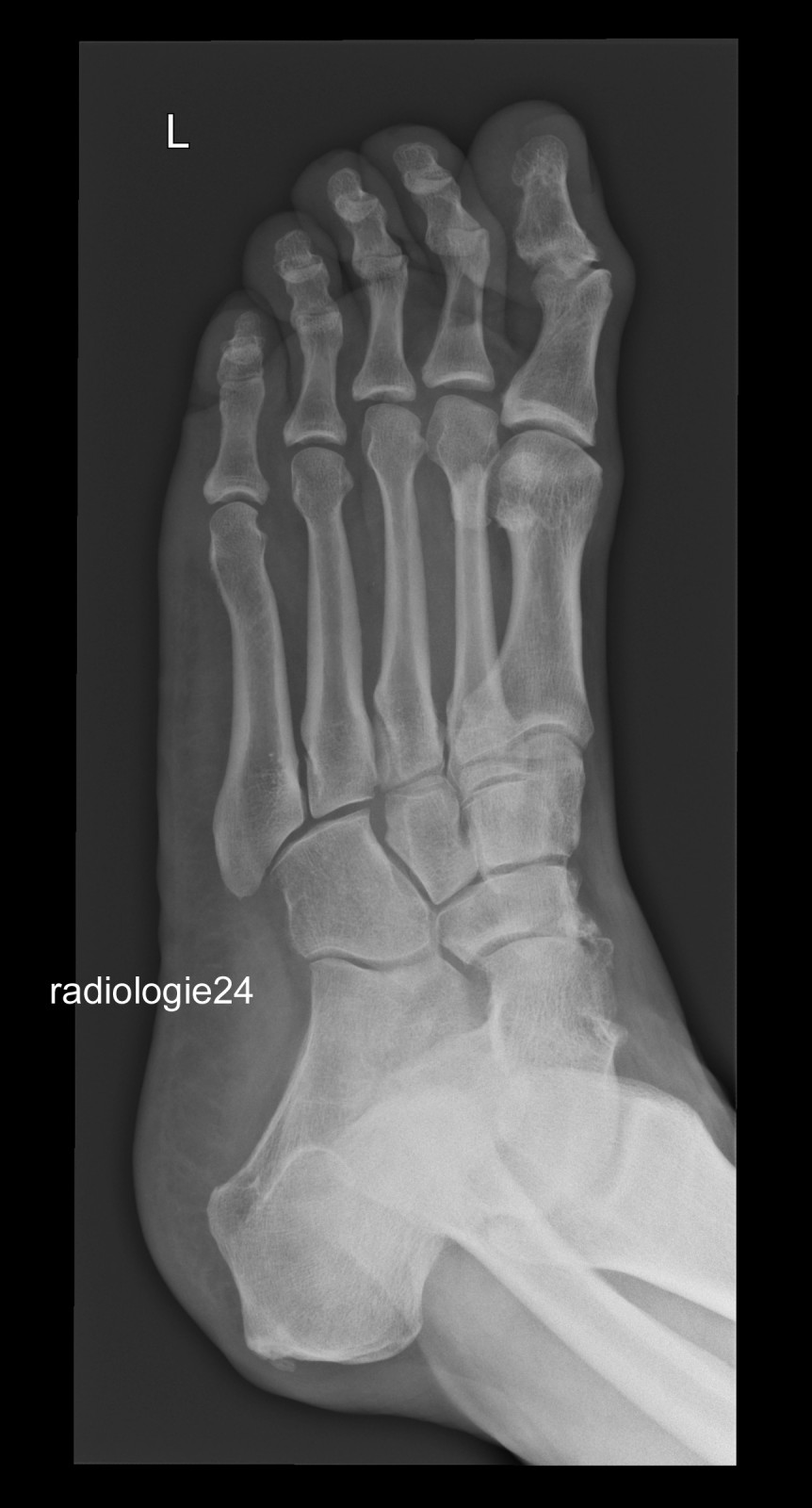
Röntgenfall des Monats September 2018 mit Auflösung
52 jähriger Patient
Fehltritt beim Wandern. Schmerzen Mittelfuss.
Ihre Diagnose? Weitere radiologische Diagnostik notwendig?